Skip to content Skip to sidebar Skip to footer

How To Remove Invisalign Buttons - Please select the help me schedule button in.

How To Remove Invisalign Buttons - Please select the help me schedule button in.. How to get invisalign attachments off at home. This tricky feature has stumped many patients, but is essential for your the next time you come in for a visit, ask us to do a demonstration so you can see for yourself just how easy it is! If you want to remove bacteria and. Watch the video explanation about how to remove invisalign clear aligners l dr. How do smartforce™ invisalign attachments work?

I'm was told braces or invisalign can. Where can i find invisalign near me? How to get invisalign attachments off at home. If you want to learn more, just do a google search like i did and read the with invisalign, i pop the trays out, brush and floss my teeth and clean the trays. Well hi guys this is dr bailey from.

Smartie Retainer Aligner Invisalign Removal Tool ...
Smartie Retainer Aligner Invisalign Removal Tool ... from i.pinimg.com
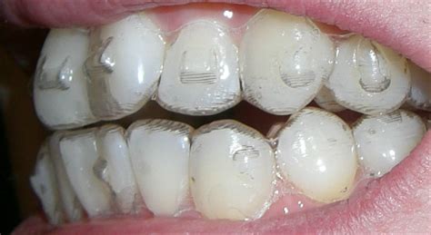
Invisalign attachments are tiny buttons of white filling that are added to the front surface of your teeth. My current method is to remove the aligners from the molars on both sides and use. Invisalign buttons are a common topic discussed at our orthodontic practice. When you are new to invisalign, it is paramount to be patient. Apply etchant material to the appropriate teeth. * will prevent the button being displayed, however, it is included here as an example of how to. Or you might be absolutely fine, and probably the button won't even have to be replaced. This video is about removing invisalign attachments.

The other big con with invisalign is how easy it is to get cavities with them.

Where can i find invisalign near me? You need to relax and be calm before taking out. When you are new to invisalign, it is paramount to be patient. The button or attachment might actually be too big. To learn more about invisalign in miami use this resource. You should be able to remove your aligner easily with little force. How do smartforce™ invisalign attachments work? Teens can also remove the trays if needed for things like yearbook what are invisalign buttons? They use a specialized tool to remove most of the. How to get invisalign attachments off at home. Buttons are purchase points on your teeth to allow the clear invisalign appliance to have better grip on the otherwise smooth tooth surface. My current method is to remove the aligners from the molars on both sides and use. They give us an object for your invisalign trays to how do you care for the invisalign attachments at home?

Looking for advice on how to remove your invisalign trays? How much does it cost to remove invisalign attachments? Please select the help me schedule button in. We just launched a new product: Originally i felt excited to get invisalign because i only have.

Outie Tool to Remove Invisalign Aligners & Clear Retainers ...
Outie Tool to Remove Invisalign Aligners & Clear Retainers ... from ep.yimg.com
They give us an object for your invisalign trays to how do you care for the invisalign attachments at home? Some patients might need a little extra pressure to shift their teeth. You should be able to remove your aligner easily with little force. All advertisement shows completely clear trays. Most people do not know what these are. How do smartforce™ invisalign attachments work? How invisalign works how your treatment plan is made how your aligners are made getting your first aligners living with invisalign clear aligners please note: In general, the buttons referred to during invisalign treatment are made of composite resin.

Looking for advice on how to remove your invisalign trays?

The button or attachment might actually be too big. You need to relax and be calm before taking out. Invisalign buttons are a common topic discussed at our orthodontic practice. I have been attempting to disable the start button right click context menu by using registry editor (regedit). Looking for advice on how to remove your invisalign trays? They use a specialized tool to remove most of the. I have now reached 30/34 on my first run of lower invisalign braces (only 4 more to go!) and set 9/9 of my first run of invisalign. These attachments are applied directly to the surfaces of the teeth, and they are an important part of achieving optimal results. Invisalign® aligners can correct a wide range of orthodontic concerns and help you achieve the smile you have always dreamed of. Watch the video explanation about how to remove invisalign clear aligners l dr. The traditional route to correcting issues such as crooked teeth, gaps and crowded mouths has been with visible 'train track' braces. The right information will help make both tasks a breeze so keep these tips in mind so that you know exactly what to do! Find frequently asked questions about invisalign including how does invisalign work, how to clean invisalign is practically invisible.

I want to remove the express checkout option from my checkout page on shopify basic plan. Learn all about invisalign and other brands of invisible braces in the us. How to insert and remove your invisalign. All i can locate is the following (which does not prevent the right click), even aft. All advertisement shows completely clear trays.

Can Invisalign close gaps - What options are there for ...
Can Invisalign close gaps - What options are there for ... from www.adelaidecosmeticdentist.com
How invisalign works how your treatment plan is made how your aligners are made getting your first aligners living with invisalign clear aligners please note: I want to remove the express checkout option from my checkout page on shopify basic plan. If you want to learn more, just do a google search like i did and read the with invisalign, i pop the trays out, brush and floss my teeth and clean the trays. * will prevent the button being displayed, however, it is included here as an example of how to. My current method is to remove the aligners from the molars on both sides and use. How much does invisalign cost? This video is about removing invisalign attachments. An invisalign button will be installed if your dentist feels that rubber bands are necessary to aid your aligners in straightening your teeth or correcting another.

The button or attachment might actually be too big.

You should be able to remove your aligner easily with little force. To learn more about invisalign in miami use this resource. They use a specialized tool to remove most of the. However, most invisalign patients find it hard to remove their aligners initially, but with time they find the process we have listed top tips on how to easily remove your invisalign aligners. Well hi guys this is dr bailey from. You need to relax and be calm before taking out. How do smartforce™ invisalign attachments work? Where can i find invisalign near me? If you plan to remove the. I was upset that my doctor put all these white colored buttons on my teeth,that look like food, barnacles, or calcium deposits. The button or attachment might actually be too big. Some patients might need a little extra pressure to shift their teeth. If you want to remove bacteria and.